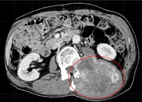
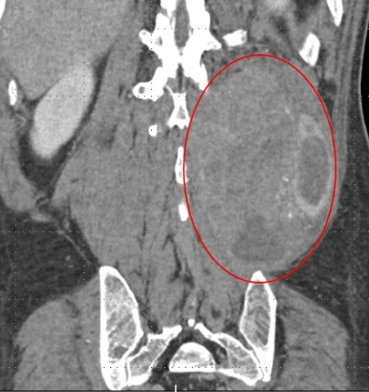
54岁的金先生是浙江台州人 在当地一家工厂上班 两年前,金先生为了改善生活 按揭买了套新房 自此以后每个月背上了房贷 他工作比以前更努力了 加班熬夜是家常便饭 从去年年初开始,金先生时常感觉到腰酸背痛,一开始以为只是上班坐久了,腰肌劳损导致的。直到半年前,他无意中摸到左侧后腰有个肿块,起初还以为是皮下囊肿,可能过几天自己就消下去了。 过了段时间,金先生心中感到不安,他腰痛越来越明显,而且肿块摸上去好像又变大了一点,于是抽空去当地医院就诊。检查后发现,他腰部的肿块大小竟然有10×15厘米,呈纺锤形,如同哈密瓜大小。 病理穿刺检查结果显示为平滑肌肉瘤,这是一种比较罕见的恶性肿瘤,起源于平滑肌细胞,常见于女性子宫、胃肠道、血管壁等部位,但也可能长到身体其他部位。 从影像上看,巨大肿瘤已经侵犯腰椎,而且紧紧贴着腰椎附近的神经和血管。手术难度非常大,当地医院建议金先生赶紧到上级医院治疗。 金先生来到浙江大学医学院附属第二医院骨科,医生介绍,金先生的肿瘤长在左后腰的肌肉里,位置比较深,不易被察觉。等到出现腰痛症状,徒手可以摸出肿块时,肿瘤已经非常大了,还侵犯了腰椎,情况比较复杂。 随后,院方召集了骨科、肿瘤内科、血管外科等多学科专家会诊,制定了详细的治疗方案:平滑肌肉瘤对化疗中度敏感,可以先进行术前的新辅助化疗,尽可能缩小肿瘤范围后,再进行手术切除。 从去年11月底开始,金先生前期做了2次新辅助化疗,一个多月后,肿瘤缩小了一些,为手术切除肿瘤创造了更好的条件。 金先生的手术定在1月14日。为了提高手术安全性,术前,血管外科团队为金先生进行了“腰动脉栓塞术”,以减少术中的出血量。 医生介绍,由于肿瘤巨大,已经侵犯了腰椎,而且紧贴着肠道、肾脏等脏器,附近又分布着下腔静脉、腹主动脉等重要血管和神经,手术时必须非常小心,避免损伤脊髓和重要的血管神经及周围脏器。 先从腹部入路,仔细地把肿瘤分离开来,再从后腰入路,将整个肿瘤“连根拔起”。为了完整切除肿瘤,术中还切除了腰椎1、2、3节的一半椎体。完整切除巨大肿瘤后,金先生的左侧后腰几乎被“掏空”,失去肌肉和软组织的保护,对后续康复会造成影响。 为此,医生用“移花接木”的方法,在保留血供的前提下,将患者右侧背阔肌翻转覆盖到左后腰处,刚好填补了手术留下的缺口,对手术部位起到了很好的保护。 整个手术持续了7个多小时,非常成功。术后一周,金先生就可以下地了。目前,金先生已经出院,进行术后的巩固化疗,以减少复发风险。 医生提醒,平滑肌肉瘤的恶性程度较高,具有侵袭性和转移性,且生长速度较快,可通过血液或淋巴系统扩散到其他器官。早期可能无明显症状,但随着肿瘤增大,可能出现局部肿块、疼痛或压迫周围组织引起相关症状。 因此,如果摸到身上有不明肿块,大家千万不要掉以轻心,应及时到医院进行排查。



近日 推荐




扫码下载时刻APP



